MASTER Réhab. ODA Concept ONLINE – Fonction – Digital – Esthétique

Esthétique / Fonction / Prothésistes
  • Intervenants : Dr C. GAILLARD
  • Dates : 20/01/2026 - 15/12/2026
  • Lieu : En Visio
PROGRAMME INSCRIPTION

MASTER REHAB – Online – ODA Concept

Fonction – Digital – Esthétique

 

Les réhabilitations complexes & le digital — du plan de traitement au collage

=> Gagnez 5 ans d’expérience en 10 mois grâce à une planification digitale, esthétique et occlusale précise !

 

Objectif

Maîtriser toutes les étapes d’une réhabilitation complexe — du diagnostic au collage — à travers une approche moderne, digitale et rigoureuse.

Un parcours pour les cliniciens exigeants qui veulent comprendre, planifier et exécuter chaque cas avec précision.

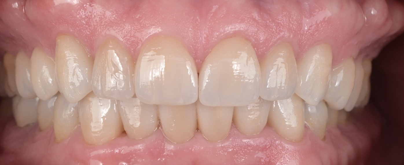
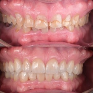
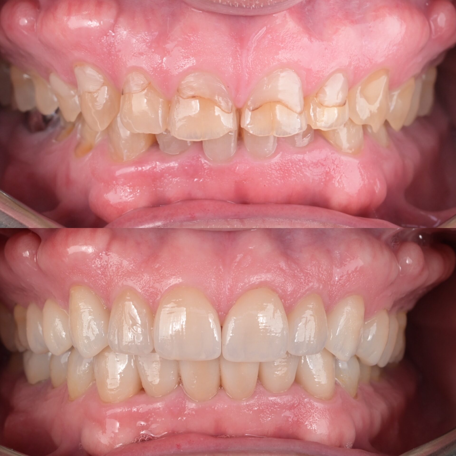
Les + : des cas cliniques de A à Z, des protocoles step by step !

Format

  • 22 sessions – 1h en direct tous les 15 jours
  • 100 % en ligne
  • Replays disponibles 12 mois
  • Groupe privé WhatsApp pour échanger des cas et protocoles

 

Le programme MASTER REHAB

*MODULE 1 — Stratégie & Première Consultation

Construire la base du plan de traitement global

1 Plan de traitement global et cohérent mardi 20 janvier
2 Première consultation & communication patient mardi 10 février
3 Prise de données (photos, scans, radios, Modjaw) mardi 24 fevrier
4 Présentation visuelle du cas au patient mardi 3 mars

*MODULE 2 — Esthétique & Fonction

Poser les fondations esthétiques et fonctionnelles avant tout acte clinique

5 Analyse esthétique du sourire mardi 24 mars
6 Utilisation du TENS : principes, réglages et interprétation mardi 7 avril
7 Modjaw : cinématique mandibulaire et intégration au design digital  mardi 28 avril 8 Détermination et validation de la dimension verticale : mardi 12 mai
9 Concepts occlusaux et équilibrations fonctionnelles : mardi 26 mai

*MODULE 3 — Workflow Laboratoire & Préparations

Passer du projet digital à la clinique avec précision

10 Wax-up digital & communication laboratoire : mardi 9 juin
11 Mock-up : validation clinique et émotionnelle : mardi 23 juin
12 Préparations guidées et contrôlées par le projet : mercredi 8 juillet
13 Empreintes digitales : stratégie et qualité : mardi 21 juillet
14 Matériaux de restauration et critères de choix : mardi 25 aout 

*MODULE 4 — Provisoires & Collage

Finaliser, stabiliser et coller dans un protocole reproductible

15 Provisoires : stabilisation esthétique et fonctionnelle : mardi 8 septembre
16Collage : protocoles céramique & zircone : mardi 29 septembre

*MODULE 5 — Organisation & Précision Clinique

Fluidifier votre workflow et sécuriser chaque étape

17 Organisation de l’agenda et planification des phases : mardi 13 octobre
18 Délégation et travail en binôme opératoire : mardi 27 octobre
19 Check-lists & protocoles qualité : mardi 3 novembre
20 Gestion financière et rentabilité d’un cas complexe : mardi 17 novembre
21 Communication financière avec le patient : mardi 1 decembre
22 Synthèse : protocole personnel de réhabilitation complexe : mardi 15 décembre 

Pourquoi rejoindre MASTER REHAB ?

  • Approche globale, esthétique et fonctionnelle
  • Méthode structurée, claire et directement applicable
  • Protocoles cliniques précis, testés et validés
  • Apprentissage sur cas réels
  • Accès au groupe WhatsApp pour échanger entre cliniciens

 

Formateur : Dr Cyril Gaillard

Fondateur de GAD Center
Expert en réhabilitations complexes, esthétique et occlusion digitale
20 ans d’expérience partagés dans un format concret et structuré

 

Informations pratiques

1h en direct tous les 15 jours : 19h00- 20h00
Replays disponibles 12 mois
Groupe WhatsApp privé

Prix : 675 euros prix webinaire + réduction 500 euros pour participer à ODA décembre 25 pour faire les TP => Offre jusqu’au Dimanche 16 novembre

 

———————————————————————————————

Moyens pédagogiques : 

  • Support pédagogique slides de la conférence
  • PDF du cours remis à la fin via mail

          

 

Méthodes d’évaluation : 

  • Questionnaire d’autopositionnement
  • Fiche d’évaluation des acquis

 

Lieux : En visio

Modalités d’inscription : 

  • public concerné : diplômé dentiste ou en cours de thèse, assistant(e) dentaire,
  • prérequis : aucun,
  • inscription effective dés réception du règlement (dans la limite des places disponibles).

Accessibilité : Nos formations peuvent être accessibles aux personnes en situation de handicap. Pour toutes demandes ou questions merci de contacter notre référent handicap : Céline via celine@gad-center.com

Contact : celine@gad-center.com ou au 06 09 13 52 41

 

formation dentaire occlusion formation dentaire occlusion GAD CENTER

les intervenants

  • Dr Cyril GAILLARD

    Chirurgien-dentiste, coach, conférencier, fondateur GAD Cabinet, GAD Center & GAD Consulting

Panier

()

Date : -

-
+
PROCÉDER À LA COMMANDE Continuer vos achats